HİFU yöntemiyle prostat kanseri tedavisi mümkün
Prostat Kanseri tedavisinde yüksek güçte ve odaklanmış ultrasonik enerji ile yok etme yöntemi olan HİFU, İzmir Özel Sağlık Hastanesi'nde uygulanmaya başladı.
İzmir Özel Sağlık Hastanesi Üroloji Uzmanı Prof. Dr. Burak Turna ve Radyoloji Uzmanı Dr. Erkan Kısmalı, online olarak Amerika ile bilgi alışverişi yaparak gerçekleştirdikleri HİFU yöntemi ile prostat kanseri olan bir hastayı başarıyla tedavi ettiklerini söyledi.

HİFU'nun Dünyada prostat kanserinin tedavisinde “geleceğin yöntemi” olarak kabul edildiğine dikkat çeken Prof. Dr. Burak Turna, tedavi yönteminin seçilmiş uygun hastalarda, yan etki olasılığı daha düşük ve hastanın hızla günlük yaşantısına geri dönebildiği bir seçenek olarak kullanıldığını vurguladı.
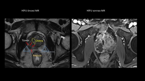
HİFU yönteminin hastaya işlem sonrasında da birçok avantaj sağladığını kaydeden Prof. Dr. Turna, “Bu yöntemde cihazının ultrason probunun görüntüleri ile MR görüntüleri bilgisayarda birleştirilerek kanserli bölge işaretleniyor. Böylece cinsel fonksiyon bozukluğuna sebep olabilecek damar ve sinirlerin tahribatına yol açmadan operasyon tamamlanıyor. Vücutta herhangi bir travma oluşmadığı için hastanın günlük yaşama ve iş başına dönme süresi de kısalıyor. Yöntem sayesinde klasik cerrahi işlemlere gerek kalmadan başarılı sonuçlar alabiliyoruz” diye konuştu.

DOĞRU HASTA SEÇİMİ ÖNEMLİ
HİFU uygulaması için doğru hasta seçiminin yöntemin başarısını büyük ölçüde artırdığını dile getiren Radyoloji Uzmanı Dr. Erkan Kısmalı, hastaların uygulamanın ardından klasik cerrahi yöntemlerine göre çok daha hızlı şekilde iyileşebildiği bilgisini verdi.
Uzm. Dr. Kısmalı, şöyle devam etti: “Cerrahi bir işlem yapılmadan, prostat kanserli olan bölgeye, makat yoluyla gönderilen ultrasonik enerji, MR ve Ultrason görüntülerinin bilgisayarda hedeflediği bölgeyi içten ısıtarak canlılığını ortadan kaldırmaktadır. Keskin sınırlarla odaklanabilen ultrasonik ısıtıcı enerjiyle, yan etkilerin ortaya çıkmasına neden olan damar-sinir demeti ve idrar yolları olabildiğince güvenli şekilde korunmaktadır. Tüm enerji yalnızca kanserli hücreleri yok edecek şekilde yönlendirilebilmekte ve odak sınırları sürekli kontrol edilebilmektedir. Seçilmiş uygun hastalara, kesi ve dikiş olmaksızın uygulanabilen HİFU yöntemiyle, klasik cerrahi yöntemlerden sonra görülebilen kalıcı ciddi yan etkiler daha az yaşanmakta, cerrahiye bağlı konforsuz dönem kısalmakta ve daha hızlı iyileşme ile günlük hayata kısa sürede geri dönülebilmektedir. HİFU, gerektiğinde aynı hastada veya önceki başka klasik yöntemlerden sonra, güvenle tekrarlanabilir”



Türkçe karakter kullanılmayan ve büyük harflerle yazılmış yorumlar onaylanmamaktadır.