Uyuşturucu kapsülü midesinde patladı!
Yabancı uyruklu şahıs, yuttuğu 72 kapsül metamfetamin kapsülünün midesinde patlaması üzerine rahatsızlanarak hastaneye kaldırıldı.
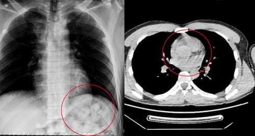
Edinilen bilgiye göre, 5 gün önce Van'dan otobüsle Ankara'ya gelen O. Zahed Ahmed Narziveh rahatsızlanınca hastaneye kaldırıldı. Ankara Şehir Hastanesine getirilen şahsın röntgen görüntüleri gerçeği ortaya çıkardı. Şahsın midesinde 890 gram ağırlığında 2'si patlamış halde 72 kapsül olduğu ve kapsüllerin patlaması ile fenalaştığı belirlendi. Mahkeme kararına istinaden ameliyata alınarak midesindeki metamfetamin kapsülleri çıkartılan zanlı, Ankara Emniyet Müdürlüğüne bağlı Narkotik Suçlarla Mücadele ekiplerince hastanedeki 5 günlük tedavisinin ardından adliyeye sevk edildi.


Türkçe karakter kullanılmayan ve büyük harflerle yazılmış yorumlar onaylanmamaktadır.